대상 포진의 가장 흔한 증상은 인체의 한 부분 이상에 불그스름하고 융기된 물집 형태의 패치로 생기는 고통스러운 피부 발진입니다. 발진은 대체적으로 몸통에 나타나고 인체의 다른 부위로 퍼져요. 발진은 대체적으로 치유되기까지 약 2-3주 동안 지속됩니다.
면역력이 약해지면 대상포진이 걸리기 쉬워집니다. 오늘은 대상포진 예방접종 가지 수는 무엇이 있는지, 대상포진 예방접종 가격 확인하는 법도 알려드리겠습니다.






대상포진이란?
수두라는 피부질환은 아마 대부분 아시리라 생각되어요. 어릴 때에 자주 걸리곤 합니다. 이 수두 바이러스는 치료를 받더라도 오랫동안동안 육체에 잠복해있게 돼요. 이 오래 묵은 수두 바이러스가 신체의 면역력이 적어지는 시기인 갱년기 하던 때에 재 활성화되어 대상포진을 발생시킨다고 합니다.
피부에 발진과 수포가 띠를 두른 모양이 통증과 함께 발생하는 특징이 있다고 합니다. 대상포진은 5~60대 이상의 노년층에서 많이 발병해 노인성 질환으로 인식돼 왔지만, 요즘들어서 스트레스가 많은 20~30대까지 젊은 층까지 확산되고 있다고 하네요. 그렇기 때문에 더 이상 노인성 질환으로 부르기 어려운 질환이 되어 가는 것 같아요.






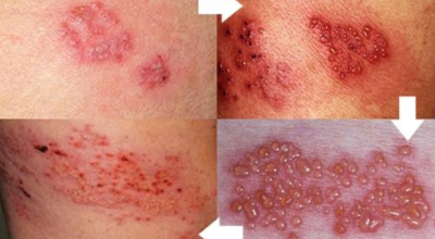
대상포진 증상
대상포진의 가장 가장 널리 알려진 증상은 피부발진입니다. 대상포진은 수두처럼 몸을 덮고 있는 피부 어느 부위든 일어날 수 있으며 얼굴이나 눈 주변에 발생하기도 합니다. 대상포진을 앓는 환자분들 중 96%에 달하는 분들이 통증을 호소하고, 그 중에서 42%는 극심한 통증을 호소한다고 합니다. 그만큼 통증이 심한 피부질환입니다. 어떤 질환이든 마찬가지로 초기에 진단하는 것이 아주 중요하며 표면적으로 드러나는 경우 쉽게 진단되는 편이예요.
보통 등으로부터 시작해 옆구리나 복부 가슴등에 발병합니다. 대부분의 경우 증상은 피부에 국한되어 나타나지만, 면역력이 크게 떨어져있는 환자의 경우 전신에 퍼져서 사망에 이르는 경우도 있다고 하네요. 발진 후에는 공통적으로 물집이 생기고 고름이 나게 됩니다. 또한 이렇게 생긴 물집과 고름은 딱딱하게 굳어 딱지를 형성합니다.






대상포진 예방접종 종류
대상포진 주사 가지 수는 생백신과 사백신 2가지로 볼 수 있다고 합니다. 생백신이라고 부르는 것은 아직 살아있는 바이러스나 세균의 독성을 제거한 백신을 뜻합니다. 독성은 사라졌지만 병원균이 살아있으므로 면연력이 이를 극복하지 못할 정도로 떨어져 있는 상태에서 접종 시 균에 감염될 수 있어 주의가 필요한 백신이라고 합니다.
대상포진 생백신은 조스타박스주와 스카이조스터주 2가지가 있으며 현재 한국에서 맞을 수 있는 대상포진 백신이 이에 속한다고 생각하시면 됩니다. 사백신이라고 하는 것은 바이러스나 세균을 배양했지만 열처리 혹은 약품처리로 병원균을 비활성화시킨 백신입니다. 병원균이 사라졌기 때문에 면연력이 약한 상태에서도 상대적으로 안전하게 접종 받을 수 있지만 그 효과가 생백신에 비교해 감퇴하는 단점이 있다고 합니다.






이로 인해 생백신에 비해 여러차례 접종이 필요한 백신입니다. 대상포진 사백신은 싱그릭스가 있다고 하며 국내에도 도입될 예정이라고 합니다. 대상포진 예방접종은 50세 이상에게만 허가하고 있다고 하며 국가가 권장하는 나이는 60세 이상이라고 합니다. 그리고 예방 효과가 평생 지속되는 것은 아니며 100% 예방 효과가 있는 것도 아니라고 합니다. 하지만 맞는 것과 안 맞는 것의 차이가 아주 크다고 합니다.
대상포진 예방접종 가격
대상 포진 예방 접종 저렴한 곳을 확인하는 방법이 있어요. 의료기관의 조사에 근거하면 2021년 4월 기준 대상포진 예방접종 가격 평균은 142,383원 입니다.
대상포진 예방접종 가격은 수입산인 조스타박스는 10만원대 중반, 국내산인 스카이조스터는 10만원대 초반입니다. 이는 가장 적은 금액을 말씀드린 것이며 병원마다 조금씩 차이가 있을 수 있다고 해요.






국내산이 수입산보다 저렴한 편이지만 효과는 크게 다르지 않다고 하니 국내산으로 맞아도 상관없습니다. 대상포진 예방접종 가격을 확인하는 방법은 건강보험심사평가원에 가시면 비급여진료비정보 조회가 가능합니다. 아래에서 대상포진 검색 > 의료기관 구분 > 지역 선택 후 검색하면 병원별 대상포진 예방접종 가격 을 미리 확인할 수 있다고 해요.
대상포진 예방접종 가격 바로가기
대상포진 예방접종 가격 확인하는법
지역 선택 > 비급여진료비정보 > 예방접종료 선택 > 상세분야 대상포진 선택 하시면 됩니다.
위는 동작구 로 선택하여 나온 검색 결과입니다. 12만원 에서 19만원까지 다양합니다. 19만원에 맞으면 억울할 것 같네요. 그렇기 때문에 집 주변의 병원의 가격을 미리 확인해보고 가시는 게 좋아요.






대상포진 예방접종을 맞아서는 안 되는 사람
젤라틴, 네오마이신 항생제 및 백신 안에 들어 있는 성분에 중증의 과민반응을 보였던 사람은 대상포진 예방접종을 맞아서는 안돼요. 그리고 선천적 및 후천적 면역결핍 상태, 면역억제요법 혹은 방사선이나 항암치료 중인 경우나 활동성 결핵 환자가 치료받지 않는 경우는 예방접종의 금기입니다.
대상포진 예방접종 가격에 대해 알려드렸어요. 읽는 분께 큰 도움이 되셨기를 바래요.
진도 가볼만한곳 베스트10 알아보기
대한민국의 민속문화 예술특구로 불리고 있는 전라남도 진도는 꿈과 낭만이 살아있는 예술의 고장으로 보배섬이라 하는 별명을 갖고 있어요. 진도 가볼만한곳 베스트10에 관하여 알아보려고 합
cheluck.goodsalm.com
강화도 가볼만한곳 베스트10 가족 나들이에 딱!
강화도에는 좋은 장소가 많이 있으므로 글을 쓰게 되었어요. 강화도 가볼만한곳 베스트10을 정했는데 참고하여 좋은 장소에서 여행했으면 좋을 것 같습니다. 관심 있으셨던 분들에게는 좋은 드
cheluck.goodsalm.com
당귀 효능 10가지와 먹는법 알아보기
당귀는 심신을 안정시키고 혈액을 보충 할 뿐 아니라 혈액순환을 순조롭게 할 수 있도록 돕고 통증을 멎게 해주며 혈압, 당뇨 등 건강에 굉장한 도움을 주는 식품이기도 합니다.. 특유의 향 때문
cheluck.goodsalm.com
댓글