족저근막염으로 고통받는 사람들의 수는 특히나 스포츠나 여가 활동에 종사하는 인구의 증가로 인해 해마다 늘어나고 있다고 해요. 몇 걸음만 가도 괜찮아 보이다가 다시 통증이 찾아온다면, 통증이 너무 심해 걷기가 힘들 때 족저근막염을 의심해볼 수 있어요. 오늘 포스팅은 족저 근막염 치료법에 대해서 포스팅 해보려해요.






족저 근막염이란?
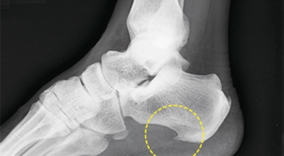
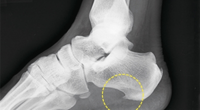
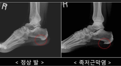
족저 근막이란 발가락 시작지점부터 발뒤꿈치뼈까지 발바닥 전체를 감싸고 있는 두꺼운 막을 말해요. 족저 근막은 발바닥 아치를 지속시켜 발바닥이 지면을 내딛음으로써 나타나는 충격을 흡수하는 중요한 역할을 수행하고 있어요. 이 족저 근막에 일차적으로 서서히 조직 손상이 일어나고 계속적인 활동으로 인해 염증이 커지면서 발 뒤꿈치 부근 통증을 유발하게 되는데 염증은 무리하고 반복적인 동작, 과도한 사용으로 마찰에 의해 발생해요.
족저근막염은 여러가지 원인으로 발생할 수 있기 때문에 정확한 원인을 파악하고 적절한 치료를 받는 것이 중요해요. 구조적으로 평평한 발을 가지거나 정상보다 높은 아치를 가진 사람들은 족저근막염이 발병할 가능성이 더 큽니다. 다리 길이의 차이나 발 형태의 해부학적 이상도 족저근막염에 걸리기 쉽습니다.
족저근막염 증상
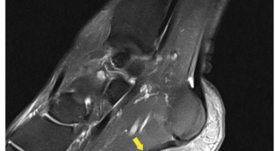
주요 증상은 통증으로 발뒤꿈치 안쪽이 아주 아프며, 맨발로 바닥을 걸을 때 걸음을 내딛을 때마다 통증이 있어요. 가장 심한 통증은 아침에 일어나 첫 걸음을 뗄 때인데, 밤에 족저근막이 수축하다가 발에 체중이 가해지면서 갑자기 늘어나는 현상입니다.
운동할 때는 괜찮은데 운동하고 나면 간혹 아플 때가 있습니다. 심한 경우 보행에 영향을 준다고 합니다. 이 질병을 예방하려면 오랫동안 서 있거나 딱딱한 바닥에 발을 올려놓는 것을 피해야 해요. 신발 선택도 중요해요. 꽉 끼는 신발, 무거운 신발, 하이힐, 딱딱한 신발 또는 높은 깔창을 피하고 쿠션이 강화된 가벼운 신발을 착용하십시오.
잠에서 깨어나거나 오랫동안 앉아 있다가 걸어야 하는 때 족저근막을 이완시키기 위해 가벼운 스트레칭을 하는 것도 보탬이 될 수 있습니다. 운동을 하기 전에 관절 주변의 인대와 근육을 충분히 스트레칭하며, 자신의 컨디션에 따라 운동의 강도와 시간을 조절해야 해요.






족저 근막염 치료법
1. 족저 근막염 치료법 - 적정 체중 유지
체중이 증가하면 족저근막에 가해지는 압력도 증가해요. 그렇기 때문에 체중을 조절하고 적절한 체중을 유지하는 것이 중요해요.
2. 족저 근막염 치료법 - 약물치료
기본적으로 염증을 치료하기 위해 소염제를 사용할 수 있어요. 단 장기간 사용하면 부작용 발생 위험이 높기 때문에 장기간 사용은 권장하지 않아요.
3. 족저 근막염 치료법 - 비수술적 치료
비수술적 치료 방법에으로 보조기, 체외충격파, 스트레칭, 스테로이드 주사요법, 비스테로이드성 소염진통제 등이 여러 방법들이 있어요. 족저근막염 발생초기에는 스트레칭을하여 족저근막 또는 아킬레스건을 효과적으로 증가시키는 것만으로 추가적인 피해를 방지할 수 있죠. 그리고 보조기를 착용해서 뒤꿈치에 가해지는 충격을 완화 시킬 수 있어요. 발에 부종이 생긴 경우 진통주사를 이용해서 치료할 수 있어요. 수술적 치료로 들어가기 전 체외충격파를 이용해서 증상완화의 효과를 볼 수 있다고 해요.






4. 족저 근막염 치료법 - 스트레칭 운동
여러가지 스트레칭을 추천해요. 벽을 보고 서서 양손을 벽에 대고 아픈 사람의 발을 뒤로 당깁니다. 이 상태에서 앞 무릎을 구부려 뒷다리 아킬레스건을 당기듯이 스트레칭을 해요. 이때 다리가 11자로 하면, 아킬레스건과 족저근막이 늘어나는 데 효과적이지요.
무릎이나 허리가 불편하면 이 운동을 할 때 문제가 일어날 수 있기 때문에 다른 스트레칭을 하는 것이 좋아요. 또 다른 운동법은 맥주병이나 냉동캔을 바닥에 놓고 아픈 부위를 굴려 마사지하던가 바닥에 수건을 깔고 발가락으로 잡는 내근육 강화 운동이지요.
최근 관절경을 이용해서 족저 근막 절개술을 시도하기도 하는데 수술적 치료의 성공률은 70~90%로 높게 알려져 있어요. 하지만 수술 후 신경 손상 과 같은 합병증이 유발될 수 있기 때문에 잘 알아보고 전문의와 상담후 수술을 결정하시는게 좋아요.
5. 족저 근막염 치료법 - 계단 이용하기
계단을 오르는 방향으로 서서 발바닥 앞부분이 계단에 걸리고 발바닥 뒤가 비어있는 상태에서 스트레칭을 시작해요. 이 자세로 발뒤꿈치를 아래로, 다시 위로 및 위로 돌려주어요. 발 뒤꿈치를 내릴 때는 발바닥 근막이 열리는 것을 느껴야 해요. 그동안 외부 충격으로 수축, 경직된 족저근막을 이완시키는 방법이지요.






6. 족저 근막염 치료법 - 수술 치료
비수술적 치료로 대부분 족저 근막염 증상이 완화될 수도 있지만 일부 환자는 수술이 필요한 경우가 있어요. 수개월간의 비수술적 치료를 했음에도 발 통증이 유지되면 수술을 고려해봐야 하며 수술을 통해 족저 근막을 증가시키는 방법을 고려해 볼 수 있다고 해요.
7. 족저 근막염 치료법 - 벽 이용하기
벽을 마주보고 선 다음 양팔을 뻗어서 벽을 짚습니다. 두 다리는 11자를 유지하며 앞뒤로 벌려 주고 발바닥은 바닥에 붙이고 벽과 가까운 앞쪽 다리를 구부린 다음 벽을 팔로 지그시 눌러 주며 뒤쪽 다리를 스트레칭해요. 이때 발바닥은 전부 바닥에 붙어있어야 해요. 양쪽 다리를 번갈아 가며 해주도록 해요.






8. 족저 근막염 치료법 - 봉침
한방병원에서 족저 봉침으로 족저 근막염 치료법으로 치료받을 수 있어요. 족저 근막염을 개선하고 통증을 줄이는 방법으로 봉합침을 사용하는 것도 좋아요. 벌침의 독인 봉독을 추출해서 경혈에 주입해서 치료하는 한의학적 치료법이지요. 봉독을 경혈에 주입해 통증을 완화시키고 체내 면역기능을 활성화시켜 질병을 효과적으로 치료하는 전통적인 치료법 중 한가지이지요. 자연 항생제를 통해 염증을 가라앉히고 일시적으로 염증을 완화시켜 주어요.
9. 족저 근막염 치료법 - 깔창 사용
족저 근막염 치료법 중 보존 치료로 깔창을 사용할 수도 있어요. 깔창을 장착하던가 깔창을 사용하고 있는 경우 더 두꺼운 깔창으로 바꾸어 발바닥에 가해지는 부담을 줄여주는 방법이지요.
10. 족저 근막염 치료법 - 영양제 섭취
글루코사민과 비타민C 등은 인대 속 결합 세포 조직의 형성을 촉진시키는 역할을 해주어요. 음식으로 섭취해도 좋고 영양제를 통해 섭취해도 무관해요.





오늘 글에서는 족저 근막염 치료법에 관하여 알려드렸어요. 읽는 분께 큰 도움이 되셨기를 바래요. 다른 유익한 정보도 더 살펴보고 가세요.
다른 사람이 많이 본 글
췌장염 증상 방심하면 큰일!
췌장은 복부에 위치한 작은 기관으로 음식을 포도당으로 분해하는 역할을 해요. 췌장의 내분비 부분은 혈당, 배고픔, 성장 또는 기타 필수 인체 기능을 조절하는 호르몬을 생산해요. 췌장염은
cheluck.goodsalm.com
댓글